Introduction
Handheld ultrasound scanners have revolutionized the way healthcare professionals approach diagnostic imaging. The growing popularity of handheld ultrasound scanners can be attributed to their portability, ease of use, cost-efficiency, and their ability to serve a wide range of medical specialties.
The Soloscan P50 is one of the most innovative handheld ultrasound scanners on the market, with clear advantages against the competition in terms of price, ergonomics, probe technology, battery life, software connectivity and more. In this article, we’ll showcase why the Soloscan P50 is our top ultrasound scanner recommendation.
Reduced Expenses
Unlike many of the top ultrasound scanners on the market, the P50 does not require an annual subscription fee to use. Additionally, all imaging modes (Color, PW, B, etc.) are available to use without any annual membership.
Size and Weight
The P50 is one of the lightest handheld ultrasound scanners on the market at 160g. The ergonomic design with 6 physical buttons prevents wrist fatigue, and allows for a comfortable, one-handed user experience for prolonged use.
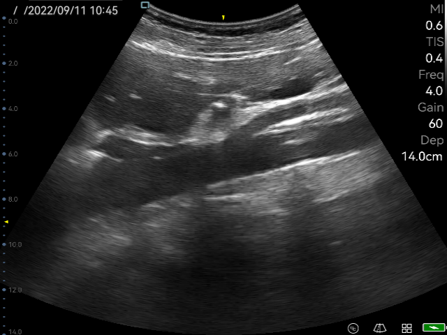
Image Quality and Resolution
The P50 adopts an advanced front-end image processing and post-processing platform. As a result, the P50 provides incredible detail resolution and contrast resolution, nearly equal to traditional-mid range ultrasound systems. With amazing image quality, doctors are able to make more accurate clinical decisions.

Imaging Modes
Some ultrasound scanners require annual membership to use specific modes. However, B Mode, M Mode, Power Doppler Mode, Pulsed-Wave Doppler Mode, Color Doppler Mode are all available to use on the P50 without additional fees.
Probe Technology and Versatility
The 6 detachable probe head design provides greater freedom for different configurations and lowers the total cost. The P50 is the only ultrasound scanner that can swap between 6 different probe heads, which include Cardiac & Convex bifunctional, Convex, Linear, Small Linear, Micro-convex and Transvaginal.
Battery Life and Recharge Time
The P50 can continuously run for 4-5 hours on a single charge, which is 5x longer than other ultrasound scanners on the market. The P50 can fully charge the 1300mAh battery quickly in about 2.5 hours. Additionally, the P50 has the lowest energy consumption on the market at <3W, which extends battery life and prevents overheating.
Ultrasound Software Connectivity
Soloscan’s P50 is the only ultrasound scanner that can connect to tablets, smartphones and PC’s (iOS, Windows, Android). In addition, the Soloscan P50 is the only ultrasound scanner that offers both Wi-Fi and USB connectivity, as well as 5GHz Frequency for stable, low latency image transmission.







